Skip to Content

Before & After

Discover the remarkable transformations we've achieved by browsing our gallery, where each smile is a testament to the exceptional care and dedication we bring to our patients.

Implants

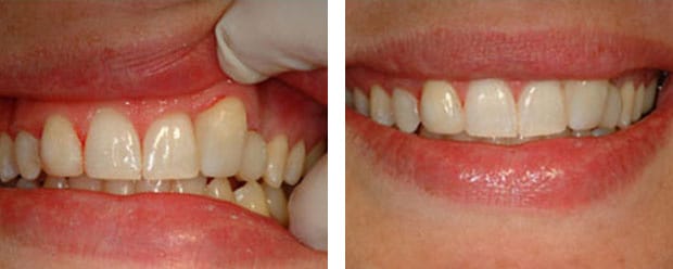
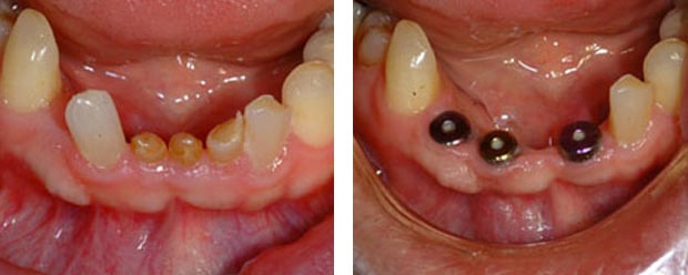
Patient 1:
Lower Anterior – Three Implants – Baby Teeth Removal

Implants P 1

Patient 1:
Continued

Implants P 1 Continued

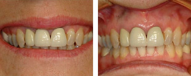
Patient 2:
Lower Bar-Supported Teeth on Four Implants Upper Denture

Implants P 2

Patient 2:
Continued

Implants P 2 Continued

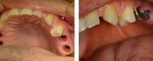
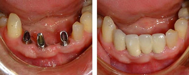
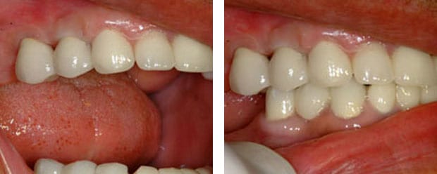
Patient 3:
Lower Left Posterior – Three Implants

Implants P 3

Patient 3:
Continued

Implants P 3 Continued

Patient 4:
Upper left – Failing Bridge

Implants P 4

Patient 4:
Continued

Implants P 4 Continued

Patient 5:
Upper Left Posterior

Implants P 5

Patient 5:
Continued

Implants P 5 Continued

Patient 6:
Upper Right Posterior Missing teeth

Implants P 6

Patient 6:
Continued

Implants P 6 Continued

Patient 7:
Upper right two Teeth – Two Implants Anterior Crowns

Implants P 7

Patient 7:
Continued

Implants P 7 Continued

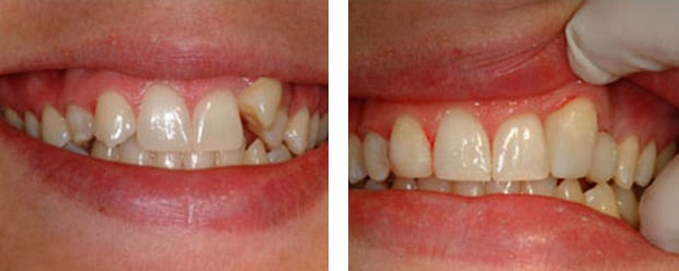
Patient 8:
Single Tooth – Canine Upper Right

Implants P 8

Bonding

Case 1:
Bonding Correcting Canine Tooth

Bonding Case1 P 1

Case 1:
Continued

Bonding Case1 P 1 Continued

Case 1:
Bonding Correcting Canine Tooth

Bonding Case1 P 1

Case 1:
Continued

Bonding Case1 P 1 Continued

Veneers

Case 1:
Teeth Veneers Upper Jaw

Veneers Case1 P 1

Case 1:
Continued

Veneers Case1 P 1 Continued

Case 2:
Veneers Upper

Veneers Upper Case2

Braces

Invisalign

Looking for a practice in the

Mid Michigan, Eaton, Ingham, Barry, Jackson, or Clinton
area
? Call to schedule your appointment today!

Contact our office today to schedule your appointment!

Implant Dentistry of Greater Lansing

ADDRESS

900 W Ottawa St
Lansing, 
MI 
48915

PHONE

Fax: 

517-484-4474
Appointment Request

By submitting this form, you agree to receive email, text, and phone communications regarding your appointment request.

Sending

location
Implant Dentistry of Greater Lansing
900 W Ottawa St
Lansing,
MI
48915
517-484-0329
HOURS

HOURS

Monday | 

9:00am-6:00pm

Tuesday | 

8:00am-5:00pm

Wednesday | 

9:00am-6:00pm

Thursday | 

8:00am-4:00pm

Friday | 

Closed

Saturday | 

Closed

Sunday | 

Closed
Accessibility
 
DESIGN AND CONTENT ©
2013-2026 BY
DENTALFONE